产品中心Cell Resources
联系我们CONTACT US
18225607483
24小时服务热线
355185756@qq.com销售邮箱
产品详情
切片用红氨酸乙醇醋酸钠液处理后,若有过量的铜离子存在时,铜与红氨酸结合形成深绿黑色的红氨酸铜盐沉淀。镍和钴经过红氨酸乙醇处理后也生成红氨酸盐沉淀,但红氨酸在有醋酸盐存在时可阻断镍和钴与红氨酸结合而不形成沉淀。
| 货 号 | 名 称 | 规 格 | 价 格(元) |
| PY-10616 | 红氨酸铜染色 | 张 | 50 |
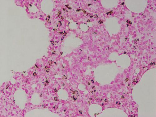
实验结果展示:
红氨酸铜染色-大鼠肺
实验流程:
脱蜡至水-染液配制染色--核固红复染--脱水封片-显微镜镜检。
结果判读:
铜盐沉积处呈深绿黑色,细胞核呈红色。
送样运输要求:
1.样本放置于20倍样本体积的固定液中固定24h以上,常温运输送样。
切勿固定时间过长,切勿冷冻结冰。
2.石蜡切片常温运输,冰冻切片-20℃运输。







