产品中心Cell Resources
联系我们CONTACT US
18225607483
24小时服务热线
355185756@qq.com销售邮箱
产品详情
六胺银染色中肾小球囊基膜、肾小管上皮基膜、真菌、弹性纤维和网状纤维都呈现出黑色,背景为金黄色。可用于观察真菌的存在与否。一般染肺、肾等组织,如果是染存在菌体的肺,一般比较容易染出细胞核,不易与菌体区分,在泡ZGSJ时可以染到24h,显影时候多换几次染液,可达到不出核的效果。 六胺银染肾组织切片时候观察膜性肾病基底膜的钉突形成、淀粉样变性肾病基底膜的双轨和多轨改变。是其他染色不可替代的。
|
货号 |
名称 |
规格 |
价格(元) |
|
PY-1068 |
六胺银染色 |
张 |
65 |
实验结果展示:
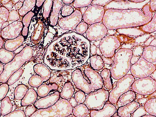
六胺银染色-大鼠肾
实验流程:
脱蜡至水-六胺银染色-脱水封片-显微镜镜检。
(1)样本接收:石蜡切片、细胞爬片、冰冻切片
(2)实验步骤:脱蜡至水、超纯水洗数次、组画笔化圈,现配现用孵育液55-58℃滴染40-50后观察显色,若没显色好可用超纯水洗干净在重新滴染液孵育(进行式染色)若达到效果则脱水透明封片。
(3)实验结果:染色好的玻片
结果判读:
肾组织的肾小球囊基膜、肾毛细血管球基膜和肾小管上皮基膜呈黑色,背景粉红色或橘红色。其他组织真菌弹性纤维和网状纤维呈灰黑色或棕黑色。
送样运输要求:
1.样本放置于20倍样本体积的固定液中固定24h以上,常温运输送样。
切勿固定时间过长,切勿冷冻结冰。
2.石蜡切片常温运输。
注意事项:
1、若染菌则有肺、肾、植物组织等标本,一般显色温度相对较低一般在53-55摄氏度
2、若观察肾小球基底膜则要将温度相对高一点55-58摄氏度
3、染色时尽量保证温度恒定
4、显色后尽量不要将染液暴露在空气中太久,配染液时四***钠通常会结晶,应该将染料溶解充分后再配







