产品中心Cell Resources
联系我们CONTACT US
18225607483
24小时服务热线
355185756@qq.com销售邮箱
产品详情
革兰氏染色,革兰氏染色法可用来观察细菌的形态并鉴别细菌;在选择药物方面有一定的参考价值;革兰氏阳性菌能产生外毒素,革兰氏阴性菌能产生内毒素,两者的致病作用不同,与致病性也有关。革兰氏阳性菌呈蓝色或蓝紫色,革兰氏阴性菌呈红色。
| 货号 | 名称 | 规格 | 价格(元) |
| PY-1067 | 快速革兰氏染色 | 张 | 35 |
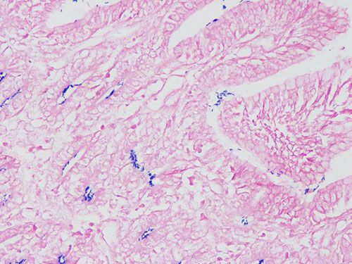
实验结果展示:
革兰氏染色-小鼠肠道
实验流程:
脱蜡至水—革兰氏染色—脱水封片-显微镜镜检
结果判读:
革兰氏阳性菌呈蓝紫色,革兰氏阴性菌呈红色
送样运输要求:
1.样本放置于20倍样本体积的固定液中固定24h以上,常温运输送样。
切勿固定时间过长,切勿冷冻结冰。
2.石蜡切片常温运输,细菌涂片常温运输。







