产品中心Cell Resources
联系我们CONTACT US
18225607483
24小时服务热线355185756@qq.com销售邮箱
产品详情
免疫组化,是应用免疫学基本原理——抗原抗体反应,即抗原与抗体特异性结合的原理,通过化学反应使标记抗体的显色剂(荧光素、酶、金属离子、同位素)显色来确定组织细胞内抗原(多肽和蛋白质),对其进行定位、定性及定量的研究,称为免疫组织化学技术(immunohistochemistry)或免疫细胞化学技术(immunocytochemistry)。传统的石蜡切片由于玻片的限制,大组织的形态结构不能完整的呈现在镜下,特制大玻片和全景数字扫描可以很好的解决这一难题。
货号 | 名称 | 规格 | 价格(元) |
FY-07255 | 免疫组化(大组织) | 张 | 98 |
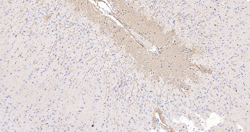
实验结果展示:
猴脑IHC-GFAP_0.2x
猴脑IHC-GFAP_10.0x

实验流程:
切片脱蜡至水-抗原修复-3%的双氧水处理-画圈-血清封闭-一抗4℃过夜孵育-二抗室温孵育-显色-苏木素染核-脱水、透明、封片-镜检
送样运输要求:
样本放置于20倍样本体积的固定液中固定24h以上,常温运输送样。
切勿固定时间过长,切勿冷冻结冰。