产品中心Cell Resources
联系我们CONTACT US
18225607483
24小时服务热线
355185756@qq.com销售邮箱
产品详情
透射电子显微镜(Transmission Electron Microscope,简称TEM),可以看到在光学显微镜下无法看清的小于0.2um的细微结构,这些结构称为亚显微结构或超微结构。
实验流程:
(1)样本接收:铅铀双染铜网+电镜送样单(附拍照要求)
(2)实验步骤:染色好的铜网上机观察(放大倍数0.2K-600K)根据实际情况选取合适倍数合适视野拍照
(3)实验结果:15张TIFF格式图片
注意事项:
1.拍照需要求简洁清楚,有侧重点。需附参考图或参考文献(如有特殊要求请提前备注说明)
2.拍照倍数由参考文献效果图来确定(不同机器不同厂家倍数标准不同,不能互通参考)
3.图片本身左下角附有拍照倍数(X-K 单位千倍),右下角附有标尺(十格总长即为标尺所注长度)
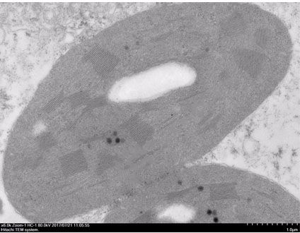
实验效果图展示:
1、小鼠骨骼肌
2、肠上皮紧密连接
3、叶绿体
4、自噬溶酶体
5、外泌体
送样运输要求:
铜网,常温运输










