科研好帮手 专业生产商

本公司产品仅供科研使用

18225607483

购物车

0

产品中心Cell Resources

联系我们CONTACT US

  • 番红-固绿染色(植物)

番红-固绿染色(植物)

货号:PY-10651

规格:

价格: ¥ 25.00

  • 番红-固绿染色(植物)
产品详情

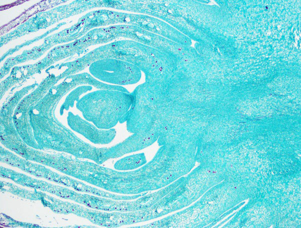
  植物番红固绿染色,石蜡切片技术里用观察植物组织的形态结构。韧皮部形成层芽尖根尖分生去等新生组织结构呈绿色,木质化木栓化的结构呈红色(软化后的木质化结构成分流失,结果呈绿色)。

货号 名称     规格         价格(元)  
       PY-10651                番红-固绿染色(植物)      25



实验结果展示:


  番红-固绿染色(植物)



实验流程:

  脱蜡至水—固绿染色—番红染色—脱水封片—显微镜镜检


送样运输要求:

  1.样本放置于20倍样本体积的固定液中固定24h以上,常温运输送样。

  切勿固定时间过长,切勿冷冻结冰。

  2.石蜡切片常温运输,冰冻切片-20℃运输。

实验流程及案例展示